BEFORE & AFTER – EVO DENTAL CLINIC
Before & After Results
Real transformations performed by our experienced team.
Every case reflects our commitment to precision, safety, aesthetics and long-lasting results.
With European-standard techniques, digital planning and personalized treatment, we help patients regain confidence and function through healthy, natural-looking smiles.

⭐ Why Our Results Stand Out
✔ Performed by Italian-trained implantologists
✔ Predictable, natural outcomes
✔ Digital planning for accuracy
✔ Solutions for simple and complex cases
✔ Thousands of successful treatments
Each transformation tells a story.
Below are some of our real patient cases.
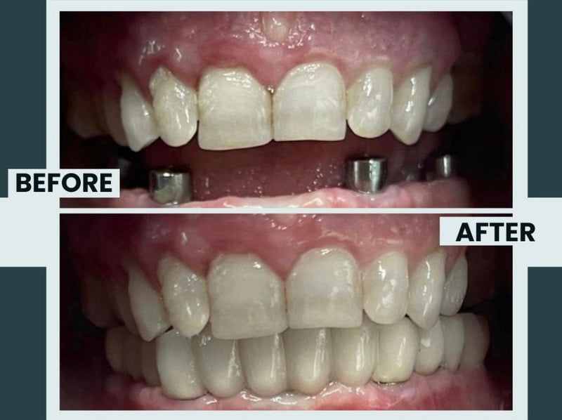
⭐ Implant Cases
Full-mouth restorations, single implants, immediate loading & complex rehabilitations.
(Add gallery here)
Examples of what to write under gallery (if Shopify allows captions):
• Full arch rehabilitation with 4 implants per arch
• Immediate function implant placement
• Reconstruction after severe bone loss
⭐ All-on-4 / All-on-6 Cases
Fixed full-arch solutions for patients with failing or missing teeth.
(Add gallery here)
Captions:
• All-on-4 upper arch
• All-on-6 lower arch
• Same-day smile transformation
⭐ Veneers & Smile Design Cases
Elegant aesthetic improvements with natural symmetry and translucency.
(Add gallery here)
Captions:
• Porcelain veneers – color correction
• Smile harmonization
• Gap closure with aesthetic design
⭐ Full Mouth Rehabilitation Cases
Advanced treatments combining implants, crowns or veneers.
(Add gallery here)
Captions:
• Severe wear restoration
• Multiple missing teeth – full reconstruction
• Functional + aesthetic transformation
⭐ Our Approach to Natural Results
Every treatment plan begins with:
✔ Digital X-ray / 3D scan
✔ Facial and smile analysis
✔ Treatment planning customized to the patient
✔ High-grade materials
✔ European standards of sterilization and safety
We aim for results that are not only beautiful —
but healthy, functional and long-lasting.

⭐ Send Us Your Smile for Evaluation
Ready to begin your transformation?
👉 Upload your photos or X-rays through our consultation form
👉 Receive a personalized treatment plan
👉 Start your journey toward a confident, natural smile
Book your free consultation today.